Snuggling with my sick boy on Sunday (He had the stomach bug the night before)
Since my last post, my photo challenge kind of went out of the window…. I am going to try and get back on the ball, but here is what has been going on:
A little over a week ago we were surprised to get a call from Brandt’s Grandmother who was coming into town. She asked if she could come stay with us for a few days. Covey was so excited when he heard the message on the answering machine he kept telling me over and over again “Say yes mom!” She got to our house and stayed with us for 5 days. It was wonderful having her here. I wish that we lived closer to her so that we could visit more often. I think it is great that my kids love their great-grandma. (Especially since I never knew mine growing up) Surprisingly I did not get any pictures of her while she was here. I will definitely have to get some before she goes home from my in-laws house. 🙂
The last night she was here was pack meeting night for Cub Scouts. Covey’s den was in charge of the activity and it was their annual carnival. Covey was so excited to bring Great Grandma, and show her his cup stacking table. The activity went really well, and had a great turn out!
Very cool clouds outside on Thursday. They are called undulatus asperatus and it looked like waves in the sky!
Kids playing outside with their friends. Scarlet loved having more kids show her attention!
On Thursday the kids were all super excited because my friend brought over her 4 kids for us to watch through the weekend while they went on a small vacation. My kids and hers get along great, and in some ways are almost like cousins. 🙂 The first couple days went really smoothly without any glitches. Then on Saturday Brandt left early in the morning to go on a caving trip with the Boy Scouts. (It was a commitment he made months in advance, and no one else could lead them though the cave) Everything was fine until around 10am when the kids were outside and Xander jumped wrong on the trampoline. He said that it felt like his knee bent backward. He crumpled in pain on the trampoline and laid there in the fetal position hugging his leg. I climbed up and looked at his legs and tried to calm him down. After a few minutes I lifted him off and carried him into the house and laid him on the couch. I got an ice pack, and some ibuprofen and tried to calm him down some more. He laid there writhing in pain screaming and crying. After a good 20 minutes I ran next door to get my neighbor, called my mother in law to tell her I needed her help watching the kids, and I took him to the ER.
Of course… as we got to the hospital he finally calms down. He was still having trouble putting weight on his leg so I brought him in. When the doctor came in to look at him, she just asked him to get up and walk. He carefully got out of the bed and took 5 steps and stopped. The doctor turned to me and said “Mom, he is walking just fine”. Oh I was so upset…. I should have just stayed home. She ordered some x-rays of his knee (Although never looked at his leg). The radiology lab tech came and got him and had him walk the 20 feet down the hall and back for x-rays. By the time he got back he was limping so bad his leg gave out and he collapsed on the side of the bed. He then laid there whimpering and wincing in pain for quite a while. I called in the nurse so that she could see and document that he was in a lot more pain after walking. She looked at his leg and realized that he is hurting more in his shin area and not at the knee. She left saying she would update the doctor, who then sent him for more x-rays. It took an hour and a half after the second set of x-rays before they came and told me he had no broken bones, and sent us home. (It is still hurting him some a week later)
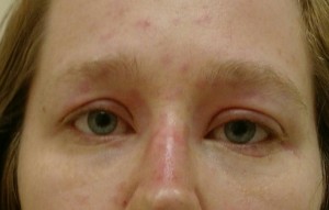
That night around dinner time I started to itch. At first I thought it was just bug bites from being outside, but as the night went on I realized I was getting hives. I took some benedryl and went to bed for the night. Sunday morning I woke up and my eye lids were swelling. I had hives all over my body from head to toe. In fact I could feel the swollen lumps of hives through my hair on my scalp. I looked at Brandt and said. “I need to go into urgent care”. He agreed and I got ready to head out. Covey stopped me and asked me where I was going and I showed him my leg and said the doctor. He looked up at me with wide eyes and said “Ok mom, this is definitely a Sunday Emergency!” I chuckled and headed out.

The Urgent care doctor gave me a shot of steroids and a rx to take some more for the next 3 days. and sent me home. The hives were so bad by then that my feet swelled up so much that I could not bend my toes, and I had to take my wedding ring off because my fingers were swelling so bad. That night before bed my bottom lip started swelling up too. Brandt and I joked around that it was my bad Botox job.
Me and my bad Botox (The swelling had started going down already when I took this picture)
Since then I have gone back to my family doctor and changed my medicines to see if that helps clear up the hives. Jerrica has also been to the doctor this week and is on antibiotics for strep throat. It has been a roller coaster ride for the last two weeks. While I did take some pictures at least with my cell phone, I would not call them my happiness challenge pictures, but I have at least documented life at our crazy house. 🙂
My Garden is beginning to grow!







Phoenix fell off his chair at lunch time. He insisted on sitting there with an ice pack on his head while he finished eating.